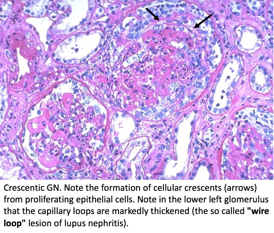
Rapidly Progressive GN (RPGN- crescentic GN)

- Rapidly (usually 50% decline in GFR within 3 months), with formation of crescents in at least 50% of glomeruli in adequate renal biopsy. Formation of > 80% crescents is asscoiated with poor response to treatment and usually is irreversible. 

- RPGN may be due to:
  1. Immune-complex mediated diseases (e.g. MPGN)
  2. Pauci-immine (e.g. ANCA mediated vasculitis)
  3. Anti-GBM (e.g. Goodpastur disease) 

- The manifestations of RPGN can vary from asymptomatic proteinuria and hematuria, or increased serum creatinine, to life-threatening renal failure or hypertensive crisis.

- Three histological variants have been identified: 
  1. Cellualr type 
  2. Fibrocellular type
  3. Fibrous type


N.B. touch sides of the adjacent pictute to see more pictures

Return to Renal Pathology list