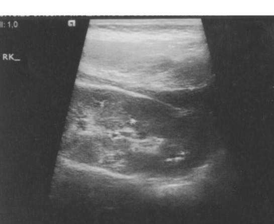
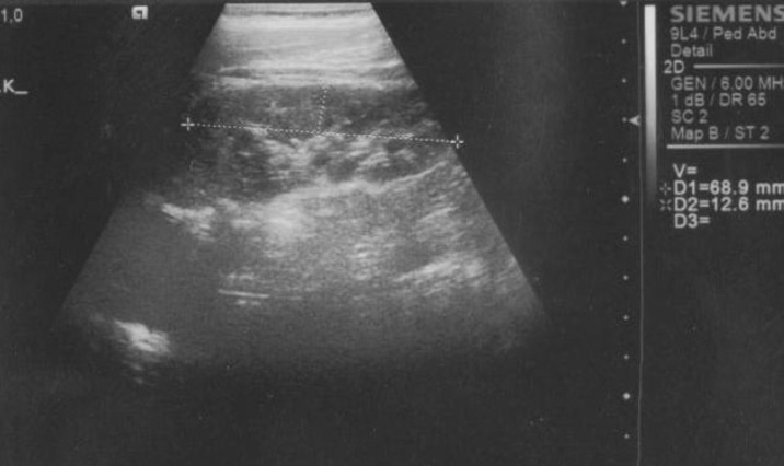
A 1-year old male patient presented because stones were found on US which was performed following urinary tract infection at the age of six months. In his history, it was learned that the mother and two daughters of the mother from the previous marriage had renal stones and the uncle was lost because of chronic renal failure 14 years ago. System findings were found to be normal on physical examination. Multiple calcifications with the larges one being 2 cm were found in both kidneys on repeated urinary tract US (see figure).
Laboratory tests performed because of nephrolithiasis were as follows: BUN: 12 m/dL, creatinine (Cr): 0.54 mg/ dL, Na: 138 meq/L, K: 4.2 meq/L, Ca: 10,2 mg/dL, P: 4.2 mg/dL, iPTH: 24.3 pg/mL, 24-hour urine Ca: 7.3 mg/kg/ day.
Thiazide treatment was started in the patient who was found to have hypercalciuria and he was started to be followed up. Blood gases and 25(OH)D3 levels were found to be normal. In the follow-up of the patient, microscopic hematuria was observed from time to time and this was related with hypercalciuria. In the sixth month, proteinuria (++) was found in complete urinalysis. In detailed evaluation, protein/Cr was found to be 7.9 mg/mg, β2 microglobulin/ Cr was found to be 5744 mg/g. Urinary density was found to be 1015. Extensive aminoaciduria was found in urinary amino acid analysis.
Hypercalciuria was reduced with thiazide treatment, but higher than normal levels were found in the follow-up from time to time. Serum Cr level was found to be 0.5-0.6 mg/dL. Glomerular filtration rate was found to be 105 ml/min/1.73 m 2 and serum cystatin C levels were found to be high.
Dent’s disease is a proximal tubular disease which is transmitted by x-linked recessive inheritance and which is characterized with low molecular weight (LMW) proteinuria, hypercalciuria, nephrocalcinosis and/or nephrolithiasis. It is manifested by polyuria, microscopic hematuria, asymptomatic proteinuria or renal stone in childhood.
In this case, nephrolithiasis was found on US done because of UTI. The patient had tubular injury as manifested by increase urinary microglobulin/Cr ratio. Also, the patient had proteinuria (though it is not LMW proteinuria). The clinical diagnosis should be supported by gene mutation analysis.

