An 11 year old girl presented at the outpatient clinic because of short stature. She was full-term baby of non-consanguinous marriage and had intra-uterine growth retardation of unknown origin (birth weight 1590 gr). During neonatal period and infancy, there were no problems and a catch-up growth towards -1 SDS height for age. Over the last 4-5 years, she developed a gradually deflective growth curve without an apparent cause. Two years ago, she experienced two episodes of focal seizures. MRI of the brain and EEG showed no abnormalities. On this moment, she complains of bilateral hip pain.
Familial history is unremarkable.
Physical exam reveals a girl in a good general clinical condition with a normal intellectual function. She has a dysproportionally short stature (short thorax; long arms; short neck) with a mild kyphosis but no other apparent dysmorphic features. No neurological abnormalities. Dentinogenesis imperfecta. Normal chest, heart and abdominal examination. No edema.
Weight was 32.6 kg (SDS -1.7), height 134.6 cm (SDS -2.6), BP 160/85 mmHg. Laboratory results showed Hb 12.1 g/dl, WBC 3.97 x 10*9/l, lymphocytes: 0.9 10*9/l (normal range: 1-5.3): thrombocytes 443.000 10*6/l, potassium 5.33 meq/l, bicarbonate 18.2 mmol/l, calcium 8.6 mg/dl, creatinine 3.9 mg/dl, urea 94 mg/dl, albumin 2.7 gm/dl and hypercholesterolemia.
Urinalysis showed proteinuria (5.5 gr/gr creat). No hematuria or pyuria. Culture negative.
Skeletal survey showed hip dysplasia.
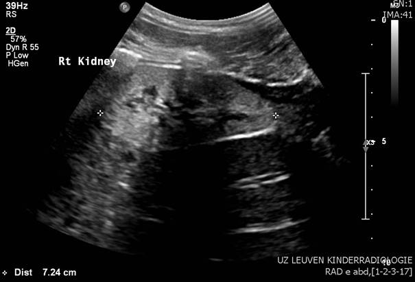
Abdominal U/S showed bilateral renal dysplasia (small, hyperechogenic kidneys).
Schimke immuno-osseous dysplasia (SIOD) is a rare autosomal recessive disorder characterized by spondyloepiphyseal dysplasia, progressive renal dysfunction due to FSGS, and T-cell immunodeficiency.
Kidney disease manifests typically with proteinuria evolving to overt SRNS, which is diagnosed between the first year of life and 14 years of age. Patients who survive infectious complications progress to ESRD between 5 and 15 years of age.

