A 5-year-old male with irrelevant family history presented with an acute onset of respiratory symptoms with 1 day of fever, sore throat, and cough. The patient rapidly developed edema, proteinuria, low urine output, elevated creatinine (1.5 mg/dL), and new-onset hypertension (above 95 percentile for age, gender, and height). Evaluation for streptococcal pharyngitis was negative. C3 and C4 complement levels were low, while antinuclear antibody (ANA), anti-double stranded DNA (anti-dsDNA), anti-Ro/SSA, anti-La/SSB, anti-Sm, anti-U1 RNP antibodies, and ANCA serologies were negative. Physical examination was only significant for facial edema.
One month later, he was readmitted after developing gross hematuria, nephrotic-range proteinuria, and rapidly progressive renal failure with creatinine of 3.8 mg/dL, requiring hemodialysis. He continued to have negative autoantibodies and ANCA serologies with normal C3 and C4 levels. There was no evidence of HIV, HBV, or HCV infection and no signs or symptoms of SLE.
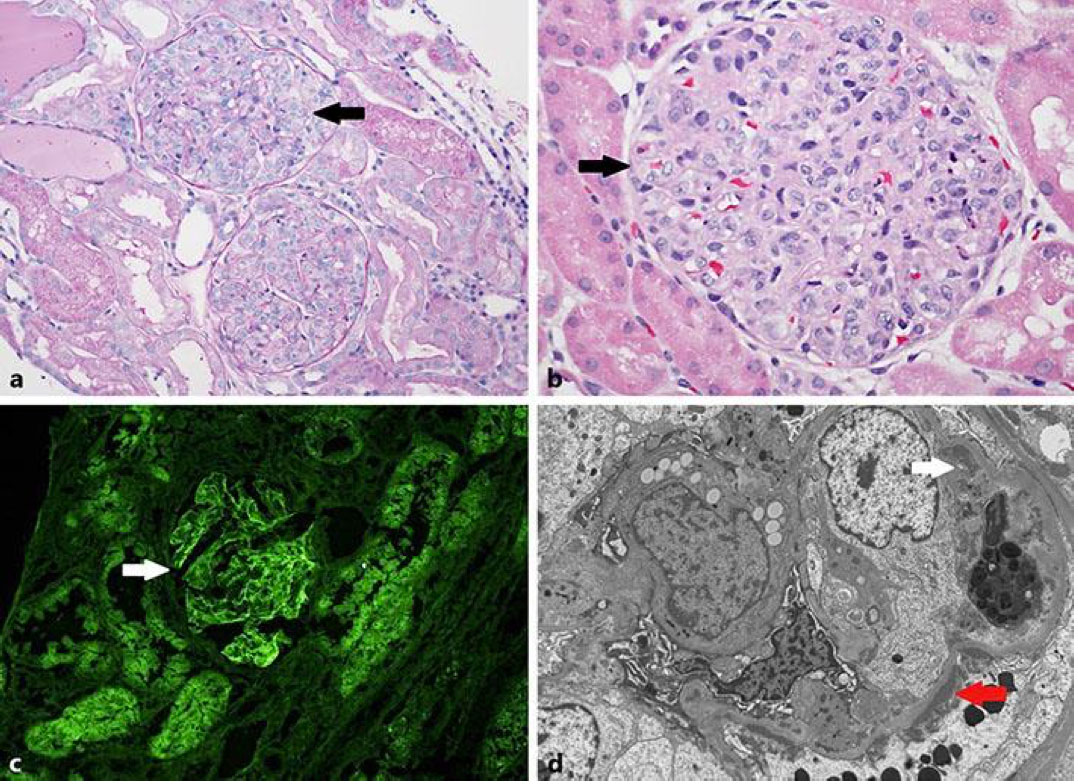
At this time, renal biopsy was performed.
Renal-limited “lupus like” glomerulonephritis is an uncommon disorder presented with renal pathology consistent with Lupus Nephritis (LN) and absent extrarenal manifestations and lupus serology.
Although detection of serum autoantibodies is considered a hallmark for clinical diagnosis of SLE, it is shown that autoantibodies to classic lupus antigens are neither required nor sufficient for end-organ damage. Other possible explanations for negative serology in full house “lupus-like” nephritis can be related to laboratory techniques. Levels of ANA and/or autoantibodies too low to detect by conventional laboratory assays may be a cause. A longer follow-up period may be needed to detect lupus antibodies in some patients.
Recent studies have indicated that this disease entity is not benign, yet the exact pathogenesis is still unknown. Treatment of these patients is challenging and currently not standardized.
